Alix Moore's Smile Makeover: 10 years in the making at Dental Creations
Doctor’s Name: Dr. Amol Pradhan
Clinic Name: Dental Creations, Matunga, Mumbai
Patient’s Name: Alix Moore
Patient’s Origin: US
Patient’s Age: 55 years
Gender: Female
Patient Background
Alix Moore, a 55-year-old entrepreneur from the United States, first visited Dental Creations in 2015 while traveling to India. A Google search led her to the Matunga-based clinic, where she sought a long-term solution for her oral health concerns. What began as a one-time dental visit evolved into a decade-long journey marked by precision care, mutual trust, and consistent follow-ups.
“Alix wasn’t just looking for dental treatment—she was seeking continuity, comfort, and clarity at every step,”
shared Dr. Amol Pradhan.
Symptoms
Chewing difficulty due to decayed posterior teeth
Early caries in the upper front teeth
Visible misalignment in anterior teeth
Concern about aesthetics during professional engagements
Diagnostic Method

Full-mouth digital X-rays and intraoral photographs

CBCT scan to assess bone quality for implant placement

Digital smile design (DSD) planning for veneer positioning

Occlusal analysis to evaluate bite dynamics and long-term implant load
Disease Diagnosed
Dental caries in the molars with compromised tooth structure
Early-stage decay in upper front teeth
Mild malalignment in front teeth requiring cosmetic correction
Partial edentulism( tooth loss) with need for functional bite restoration
Treatment Plan and Post-Surgery Guidelines
Phase 1: 2015 – Initial Functional Restoration
Alix’s first treatment phase involved extracting decayed molars and placing implants to reestablish posterior bite support. High-quality American and European implant systems were selected for durability and biocompatibility. Crowns were placed on the implants to restore full chewing efficiency.
Phase 2: 2018 – Aesthetic Enhancement
With the oral function restored, the focus shifted to smile aesthetics. Alix underwent minimal-prep porcelain veneers placement on her upper anterior teeth. An additional implant was placed to replace a decayed tooth.
Phase 3: 2025 – Final Smile Completion
Returning in 2025, Alix opted for veneers on her lower teeth to improve her smile aesthetics. Additionally, an old implant crown was upgraded using the latest zirconia crown technology for superior aesthetics and durability.
Post-Surgery Guidelines
Immediate post-op care included a soft diet and antimicrobial rinses
Nightguard recommended after veneers to prevent parafunctional wear
Customized oral hygiene regimen with a soft-bristle brush and floss threader
Bi-annual follow-ups for scaling, polishing, and monitoring implant stability
“Our priority across each phase was ensuring every new addition fit seamlessly with past work—clinically and aesthetically,”
said Dr. Sunita Pradhan.
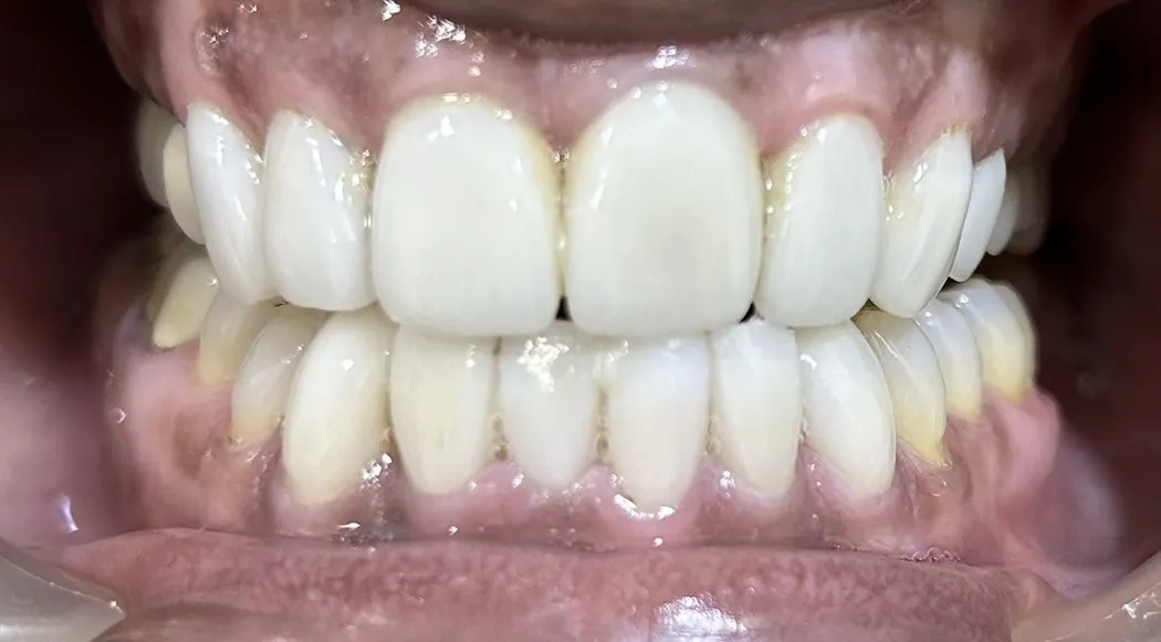
Outcome
Full chewing function restored through strategically placed implants
Natural-looking veneers harmonizing upper and lower arches
Improved speech clarity and confidence
Seamless integration of old and new prosthetic work over 10 years
“I can’t believe this smile is mine. It’s been a journey of complete transformation, and I felt supported throughout,”Alix remarked.
Long-Term Expectation
Thanks to structured maintenance, quality materials, and meticulous placement, Alix’s dental restorations are expected to remain stable for over 15 years. Annual visits to Dental Creations or coordinated care with a local provider will help maintain function and appearance for decades to come.
Patient Feedback
“My smile journey with Dental Creations has spanned ten years—and every visit reaffirmed why I chose them. Their transparency, state-of-the-art technology, and patient-first approach made me feel seen, heard, and cared for. Today, my smile is not just healthy but truly beautiful. I couldn’t have imagined a better experience.”



