Premium Veneer Aesthetics for a Perfectly Sculpted Smile
Enquire Now
Veneers in Matunga, Mumbai
A confident smile begins with flawless teeth. At Dental Creations, we specialize in creating beautiful smiles through advanced veneers in Matunga, Mumbai. Our approach is rooted in precision, personalization, and patient comfort.
With over two decades of experience, Dr. Amol Pradhan brings a unique blend of clinical skill and artistic vision to each smile he crafts. Every veneer treatment here is thoughtfully planned using digital imaging and cutting-edge tools to ensure a result that’s as functional as it is beautiful.
Types of Veneers We Offer at Dental Creations
At Dental Creations, a premier dental clinic in Matunga, Mumbai, we offer a range of veneer options to suit different dental conditions and aesthetic goals:

Porcelain Veneers
A cornerstone of modern smile designing, porcelain veneers are crafted from high-quality ceramic to align with the Golden Proportion—the ideal balance that defines an attractive smile. These ultra-thin, stain-resistant shells closely mimic natural enamel and offer long-lasting durability, making them a trusted solution for transforming uneven, discolored, or misshaped teeth into a naturally beautiful, symmetrical smile.

Composite Veneers
Made from tooth-colored resin, composite veneers are applied in a single visit. They are a cost-effective alternative to porcelain and are perfect for minor corrections and quick cosmetic enhancements.

No-Prep Veneers
For those looking to preserve natural tooth structure, our no-prep veneers offer minimal or no tooth reduction while still delivering beautiful results.
The Veneer Procedure at Dental Creations
Consultation and smile design : We start with a detailed evaluation using digital scans and photographs. Dr. Amol Pradhan will understand your aesthetic goals and create a tailored smile design.
Why Choose Us for Veneers in Matunga, Mumbai?
20+ years of experience
Dr. Amol Pradhan brings decades of aesthetic dentistry experience, having transformed hundreds of smiles with exceptional results.
Advanced technology
From digital impressions to CAD-CAM lab integration, every step is enhanced by precision tech for predictable outcomes.
Comfort-focused care
With a calming ambiance, no waiting time, and dedicated appointment slots, we prioritize your comfort from start to finish.
Blending Aesthetics with Precision
Veneer placement is not just a dental procedure—it’s cosmetic artistry. Our team ensures that your veneers blend seamlessly with your facial aesthetics.
Personalized treatment plans
We design treatment plans around your lifestyle, timelines, and long-term goals.
How Much Do Veneers Cost in Matunga, Mumbai?
The cost of veneers in Matunga, Mumbai varies depending on several factors such as the type of veneer, the number of teeth being treated, and the complexity of the case. At Dental Creations, we offer transparent pricing and help you understand the value behind each treatment decision.
A consultation allows us to give you an accurate estimate while aligning with your smile goals. Flexible payment options and premium care make our clinic a trusted choice for those seeking high-quality dental veneers in Matunga, Mumbai.
See the difference for yourself.
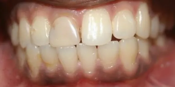
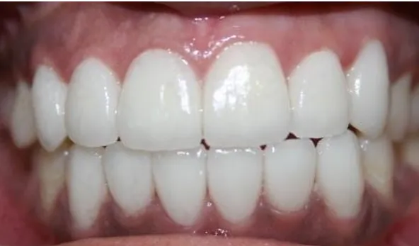
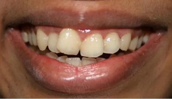
Before & After: Real Smile Transformations
Our portfolio of successful veneer cases speaks volumes. From correcting gaps and discoloration to complete smile makeovers, our transformations restore confidence and bring out the best in every patient. High-quality materials, expert execution, and patient-focused care are what set our results apart.
Before
After
Before
After
Before
After
FAQs
How long do veneers last?
Porcelain veneers can last 10–15 years or longer with proper care, while composite veneers typically last around 5–7 years.
Are veneers painful?
The veneer process is minimally invasive and generally painless, especially with our comfort-first approach and advanced techniques.
Can veneers fix crooked teeth?
Yes, veneers can correct mild to moderate alignment issues, offering an instant aesthetic improvement without braces.
How much is a full set of veneers in Mumbai?
Costs vary depending on veneer type and number. Visit our clinic for a personalized quote and treatment plan.
Can we eat with veneers?
Absolutely. Veneers are designed to function like natural teeth. Just avoid biting into hard items directly.
Can veneers look fake?
Not at all—when done correctly. At Dental Creations, we design each veneer to mimic the translucency, color, and texture of natural teeth.
Disclaimer: The information shared in this content is for educational purposes only and not for promotional use.
