All-On-6 Dental Implants for an Australian Patient
Doctor’s Name: Dr. Amol Pradhan
Clinic Name: Dental Creations, Matunga, Mumbai
Patient’s Name: Mr. Mark Tims (name changed for confidentiality)
Patient’s Age: 59 years
Gender: Male
Patient Background
Mr. Mark Tims, a 59-year-old gentleman from Queensland, Australia, had long been battling severely decayed and broken teeth. His dental condition had started to affect not just his ability to chew or speak confidently but also his overall health and quality of life. After enduring discomfort for years, he began exploring permanent solutions and reached out to Dental Creations via email.
From the very first interaction, Mr. Mark made it clear he wanted a long-lasting and aesthetic solution. The Dental Creations team, led by Dr. Amol Pradhan, guided him remotely—reviewing intraoral photographs and medical history—and proposed an All-On-6 dental implant treatment plan tailored to his needs.
Symptoms
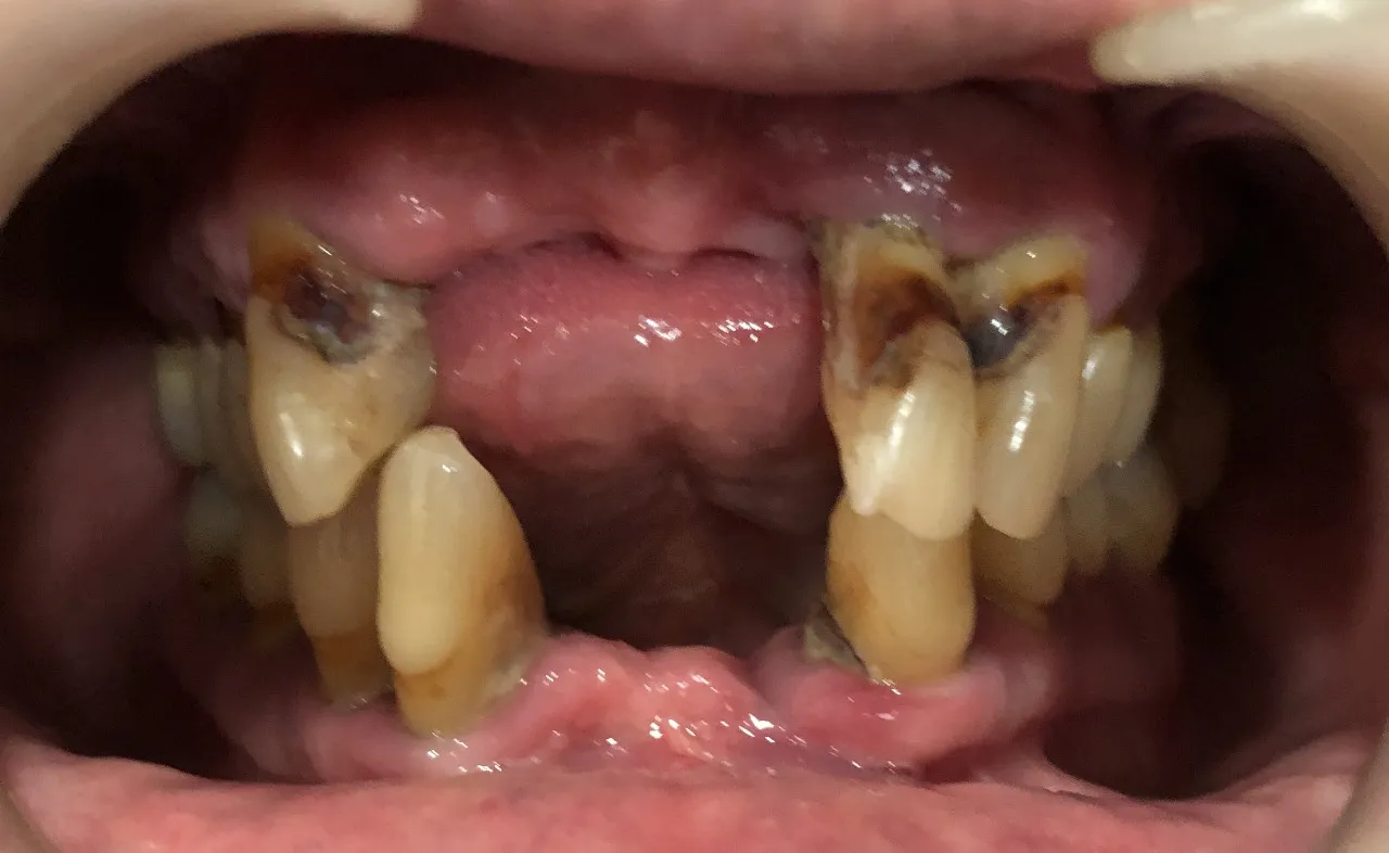
Mr. Mark presented with a full mouth of decayed, broken, and failing teeth. He struggled with chewing, had difficulty articulating clearly, and often felt socially withdrawn due to the condition of his smile. His main concern was to regain a full set of fixed teeth that would look natural and allow him to eat and smile freely again.
Diagnostic Method
Upon arriving in Mumbai in September 2024, a comprehensive diagnostic protocol was carried out. This included a CBCT scan, a series of intraoral photographs, and detailed study models. These diagnostics helped assess bone quality and allowed for a clear roadmap of implant placement and prosthetic design. Based on these findings, the proposed All-On-6 treatment was confirmed and finalized.
Disease Diagnosed
Mr. Andrew was diagnosed with generalized gum and bone loss, along with extensive dental decay. His case required a complete full-mouth rehabilitation. There was also evident loss of bone in some areas, which would necessitate bone grafting in order to support the implants securely. Despite the severity, he was an ideal candidate for immediate implant placement.
Treatment Plan and Post-Surgery Guidelines
The treatment was carried out in two phases, spaced several months apart.
In the first stage, which spanned eight days during his initial visit in September 2024, all decayed and broken teeth were extracted. Dr. Amol Pradhan placed six high-quality Straumann implants in each jaw, which were immediately followed by bone grafting to enhance support. A temporary set of functional and aesthetic teeth was then secured onto the implants, allowing Mr. Mark to smile, speak, and eat soft foods without worry until the final prosthesis could be completed.
He returned in February 2025 for the second stage, which lasted ten days. A panoramic radiograph confirmed excellent osseointegration of the implants. Intraoral scanning was performed to record precise implant positions and soft tissue contours. Using CAD-CAM technology, a custom Paulo-Malo prosthesis was designed and trial-fitted multiple times to ensure comfort, chewing efficiency, and aesthetics. Once everything met expectations, the final zirconia teeth were securely fixed.
Post-Surgery Guidelines
After both stages, Mr. Mark was provided with thorough instructions to ensure smooth recovery and long-term implant success. He was advised to maintain a soft diet in the initial weeks, follow a specific oral hygiene regimen using interdental aids and antibacterial rinses, and wear a protective nightguard if needed. Regular follow-ups were also recommended, especially for ongoing care back in Australia.
Outcome
“The level of professionalism and attention to detail at Dental Creations was beyond anything I’ve experienced. Dr. Pradhan and his team made me feel at ease throughout the journey. I now have a smile I’m proud of and the confidence to enjoy life again.”
Long-Term Expectation
Thanks to Dr. Pradhan’s meticulous approach and use of premium materials like Straumann implants and zirconia prostheses, Mr. Mark’s dental rehabilitation is expected to last well over 15 years with proper care. The Paulo-Malo prosthesis offers both functional resilience and aesthetic excellence, making it an ideal long-term solution. With periodic maintenance and good oral hygiene, Mr. Mark can continue to enjoy his restored oral health for years to come.


